
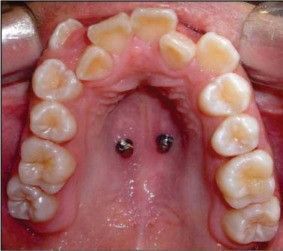
¿Qué son los ortoimplantes?
Los ortoimplantes (mini implantes para ortodoncia) son pequeños “tornillos” de fijación temporal que se colocan anclados en el hueso durante el tratamiento de ortodoncia. Estos implantes permiten que el especialista realice casi todos los movimientos dentales sin que la fuerza ejercida recaiga sobre los dientes, lo que optimiza el tiempo de tratamiento y reduce el número de aparatos utilizados en la boca. Al finalizar el tratamiento, los ortoimplantes se retiran sin dejar secuelas.
Beneficios de los ortoimplantes en ortodoncia
Los ortoimplantes ofrecen una solución eficaz y cómoda para los pacientes, permitiendo realizar movimientos dentales más rápidos y efectivos sin comprometer la estética. Además, al usarse menos aparatos fijos, la experiencia del tratamiento es más cómoda y menos invasiva.

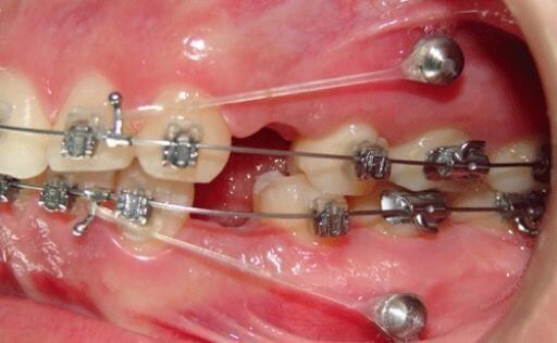
Colocación y retiro de ortoimplantes
Es comprensible que algunos pacientes piensen en dolor o incomodidad al colocar los ortoimplantes. Sin embargo, cuando se colocan por profesionales capacitados y con la debida planificación, los riesgos son mínimos y los inconvenientes son prácticamente inexistentes. Después de la aplicación de anestésico local, la colocación y el retiro de los ortoimplantes son procedimientos rápidos, que toman solo unos minutos y son prácticamente indoloros.




