
BIOART: TU ALIADO CONTRA LA PERIODONTITIS
La salud bucal es un aspecto fundamental de nuestro bienestar general, y la periodontitis representa una amenaza seria que no debemos ignorar.
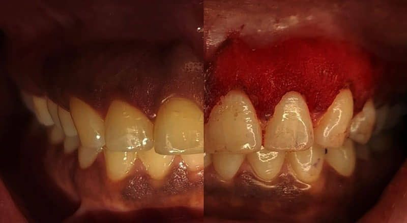
Los signos de alerta incluyen mal aliento persistente, sensibilidad dental, encías enrojecidas o sangrantes. Ignorar estos síntomas puede llevar a complicaciones graves, incluyendo la pérdida de dientes y problemas de salud sistémicos.
La prevención es clave, y las revisiones dentales regulares son esenciales para detectar y tratar la
periodontitis en sus etapas iniciales.
BIOART se compromete a brindar atención de calidad para proteger tu sonrisa y tu salud.

Tratamientos efectivos para combatir la periodontitis
En BIOART, ofrecemos una variedad de tratamientos para combatir la periodontitis. Nuestro equipo de expertos diseñará un plan de tratamiento personalizado para tus necesidades.
¡Agenda tu cita en BIOART y protege tu sonrisa!
No esperes a que la
periodontitis avance ¡Agenda tu cita en
BIOART hoy mismo y da el primer paso hacia una sonrisa saludable y radiante!



